
All New Strupp/Brumm Technique Manual PDF Format on Flash Drive
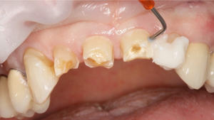
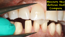
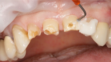
Comprehensive Esthetic and Restorative Techniques in Great Detail with HQ Photographs. An in-depth description of clinical and laboratory materials, supplier lists, clinical techniques, microscopic cast gold techniques, practice management, and Prep Design (350 Page High Quality PDF Document).
*This is a non-refundable item*